PLAIES CHRONIQUES ou TRAUMATIQUES : Une association thérapeutique qui révolutionne la cicatrisation
En incorporant un médicament inhibiteur de gènes dans un gel en vente libre, les chercheurs du College de médecine Albert Einstein (New York) parviennent à réduire de moitié le temps de cicatrisation et améliorent globalement considérablement ses résultats. Une thérapie combinée, testée ici chez la souris, et dont les résultats prometteurs, pour tous types de plaies, avec notamment une régénération « complète » de la peau, sont documentés dans la revue Advances in Wound Care.
Une cicatrisation plus rapide et plus complète, mais induisant une « régénération réelle », avec restauration des réseaux de collagène de soutien de la peau, et repousse des follicules pileux : les chercheurs newyorkais décrivent ainsi des améliorations cliniquement importantes sans précédent dans le traitement des plaies. L’auteur principal, le Dr David J. Sharp, professeur de physiologie et biophysique à Einstein, commente : « Nous prévoyons que cette thérapie aura une large application pour toutes sortes de plaies, des coupures aux blessures en passant par les plaies chroniques ».
Supprimer le frein à la réépithélialisation : tout repose sur une enzyme, appelée fidgetine-like 2 (FL2), qui freine les cellules de la peau lorsqu'elles migrent vers le lit de la plaie au départ du processus de cicatrisation. L’idée est donc que la réduction des niveaux de FL2 pourrait permettre aux cellules d'atteindre leur destination plus rapidement. Sur ce principe, l’équipe a développé de petites molécules d’ARN interférant (siRNAs : small interfering RNA) qui vont inhiber spécifiquement le gène qui code pour FL2. Lorsque ces siRNAs sont enfermés dans des nanoparticules et pulvérisés sur des plaies cutanées, ici chez la souris, la cicatrisation est accélérée.
Améliorer encore le potentiel de cicatrisation : il est possible d’améliorer encore l’efficacité de ces siRNAs en les associant à un gel protecteur, « PluroGel » qui garde la plaie humide, pour une cicatrisation mieux dirigée, et apporte, en plus, des propriétés antimicrobiennes une fois appliqué sur les dispositifs de pansements. Enfin, ces siARNs ont été incorporés dans des microparticules de collagène, une protéine naturelle qui libère facilement sa « cargaison » dès le contact avec la peau.
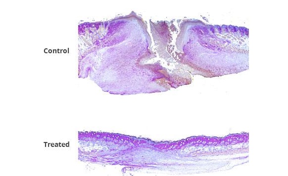
La preuve chez la souris : la combinaison FL2-siRNAs / PluroGel appliquée à des souris présentant des excisions cutanées ou des brûlures permet, à 4 jours post-traitement, de réduire la taille de la plaie d’excision de moitié. Plusieurs souris traitées par la thérapie combinée présentent également des follicules pileux sur l’ex site de la plaie, alors qu'aucun n’est observé chez les souris témoins. Et, chez les souris traitées pour brûlures, 14 jours après la lésion, les plaies des souris traitées sont réduites d’environ un tiers. En outre, les plaies de brûlure de toutes les souris traitées avec la combinaison FL2-siRNA / PluroGel sont totalement cicatrisées à 14 jours, vs seulement 25% à 30% chez les souris témoins.
Des données qui confirment les promesses de la combinaison thérapeutique et globalement de l’option qui consiste à réduire les niveaux de FL2 dans les cellules de la peau, pour accélérer le processus de cicatrisation. De plus en permettant l’hydratation de la plaie (cicatrisation humide) et en inhibant les microbes, PluroGel offre un atout supplémentaire. Il fallait y penser. Bientôt des essais cliniques.
Autres actualités sur le même thème
ULCÈRE DIABÉTIQUE : Le microbiome de la plaie associé aux résultats de cicatrisation
Actualité publiée il y a 1 année 11 moisANTIBIORÉSISTANCE : Comment en 15 ans les antibiotiques ont submergé le monde
Actualité publiée il y a 7 années 9 moisTRAUMA et PLAIE de la MAIN : Le gant Reheal, TPN et pharmaco à la fois
Actualité publiée il y a 7 années 6 moisSOIN de PLAIES : Un nouveau test pour une meilleure gestion de l’exsudat
Actualité publiée il y a 6 années 7 mois



