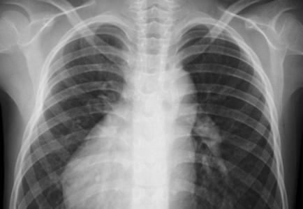
ACHALASIE : L’IA et les radios pour un diagnostic non invasif
L’intelligence artificielle (IA) appliquée aux radiographies pourrait grandement faciliter le diagnostic complexe de l’achalasie, conclut cette équipe de l’Université métropolitaine d'Osaka. L’équipe décrit dans la revue Clinical Gastroenterology and Hepatology, comment l’IA peut « repérer » la dilatation typique observée au niveau de l’œsophage dans des affections comme l'achalasie.
Pour continuer à lire cette actualité, vous devez être membre Premium.
Je souhaite devenir membre PREMIUM
Accèdez sans limite aux 15 000 actualités du site et recevez gratuitement chaque semaine, la Newsletter Santé log avec les actus Santé à ne pas manquer !
Je suis déjà
membre PREMIUM
Devenez membre PREMIUM
Accèdez sans limite aux 15 000 actualités du site
et recevez gratuitement chaque semaine,
la Newsletter Santé log avec les actus Santé à ne pas manquer !

Je suis déjà membre PREMIUM
Autres actualités sur le même thème
OPTOGÉNÉTIQUE : Une « lanterne moléculaire » qui veille au grain
Actualité publiée il y a 1 année 4 moisPARKINSON : Un scanner ultra-puissant pour un meilleur traitement
Actualité publiée il y a 3 années 11 moisCANCER : Le test sanguin qui donne le pronostic de survie
Actualité publiée il y a 9 années 4 moisSOINS INTENSIFS, CHIRURGIE : Une sonde à fibre optique pour mesurer le débit sanguin
Actualité publiée il y a 6 années 7 mois
ABONNEMENT PREMIUM
Accédez sans limite à plus de 15 000 actualités



