SEP, troubles du SNC : La capacité prolifique des cellules de Schwann à générer la myéline

En révélant la capacité prolifique des cellules de Schwann à générer de la myéline, cette équipe de l’Oregon Health & Science University (OHSU) ouvre la voie à de nouveaux traitements des troubles du système nerveux, dont la sclérose en plaques ou encore certaines neuropathies, dont la maladie de Charcot-Marie-Tooth. Ces travaux, présentés dans la revue Nature Communications, permettent d’avancer, précisément sur de nouvelles thérapies géniques pour réparer la myéline.
Les scientifiques ont découvert que ce type particulier de cellules produit cette gaine protectrice recouvrant les fibres nerveuses de manière beaucoup plus prolifique qu’on ne le pensait auparavant : il s’agit des cellules de Schwann, un type de variété de cellules gliales déjà connu pour assurer, via la myéline, l'isolation des axones du système nerveux périphérique. Cependant cette découverte d'une production prolifique « bouleverse totalement la définition actuelle de la fonction des cellules de Schwann », précise l’auteur principal, le Dr Kelly Monk, du Vollum Institute de la OHSU.

Les cellules de Schwann sont capables de produire la myéline en « grande quantité »
La myéline est produite par 2 types de cellules :
- les oligodendrocytes présents dans le cerveau et la moelle épinière,
- les cellules de Schwann, présentes dans le reste du corps.
Jusqu'à présent, les scientifiques pensaient que seuls les oligodendrocytes généraient plusieurs gaines de myéline autour des axones, la mince projection d'une cellule nerveuse qui transporte les signaux électriques entre les cellules. La nouvelle recherche révèle que les cellules de Schwann sont également capables de produire et diffuser la myéline sur plusieurs axones.
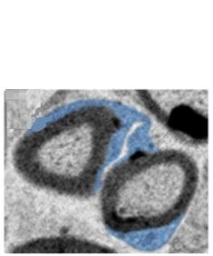
Découverte d'un gène clé pour la production de myéline : les chercheurs ont travaillé sur le poisson zèbre et découvert que certains poissons, porteurs d’une mutation du gène fbxw7 contiennent plus de myéline. Lorsque les scientifiques neutralisent le même gène non muté chez des souris génétiquement modifiées, ils constatent que des cellules de Schwann se mettent à produire la myéline en grande quantité (visuel 2) et autour de nombreux axones.
Vers de nouvelles techniques de thérapie génique : en décryptant comment les cellules de Schwann génèrent la myéline au niveau moléculaire, les chercheurs ouvrent la voie à de nouvelles techniques de thérapie génique, ciblant le gène en question, pour réparer la myéline endommagée dans les troubles du système nerveux périphérique. Ces cellules de Schwann semblent avoir évolué de manière à développer ce mécanisme permettant de réparer la myéline endommagée, cellule par cellule, en réponse à des lésions qui ne touchent pas nécessairement tout l'organisme. Ce système de réparation serait renforcé au fil des générations.
En synthèse, cibler le gène fbxw7 - ou des molécules de la voie en aval - pourrait constituer un moyen puissant de favoriser la réparation de la myéline dans le système nerveux central : c’est une nouvelle option pour soigner le cerveau et la colonne vertébrale dans les maladies démyélinisantes.
Autres actualités sur le même thème
PSYCHIATRIE NUTRITIONNELLE : Mais comment le régime alimentaire affecte-t-il la santé mentale ?
Actualité publiée il y a 5 années 8 moisPARKINSON : La capacité d’écrire fait le diagnostic précoce
Actualité publiée il y a 7 années 4 moisSCLÉROSE en PLAQUES : La maladie a son prodrome, 5 ans avant le diagnostic
Actualité publiée il y a 7 années 1 moisGROSSESSE et ANTIDÉPRESSEURS : Quel impact sur le cerveau du bébé
Actualité publiée il y a 1 année 5 mois